症例について

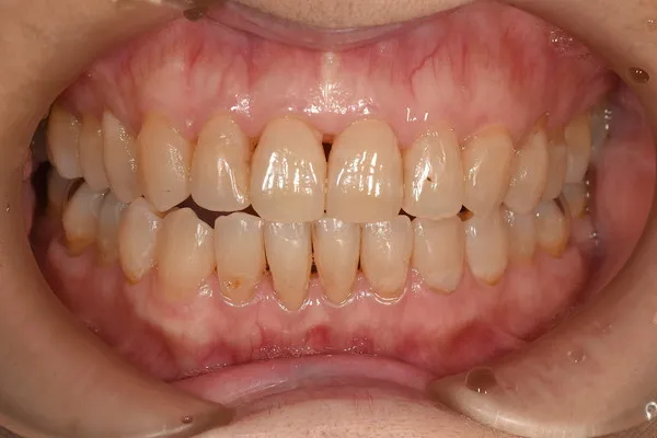
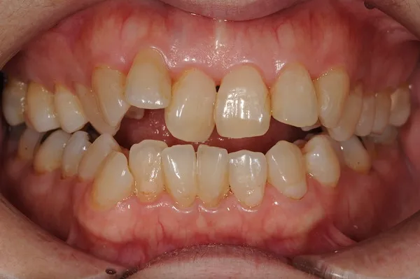
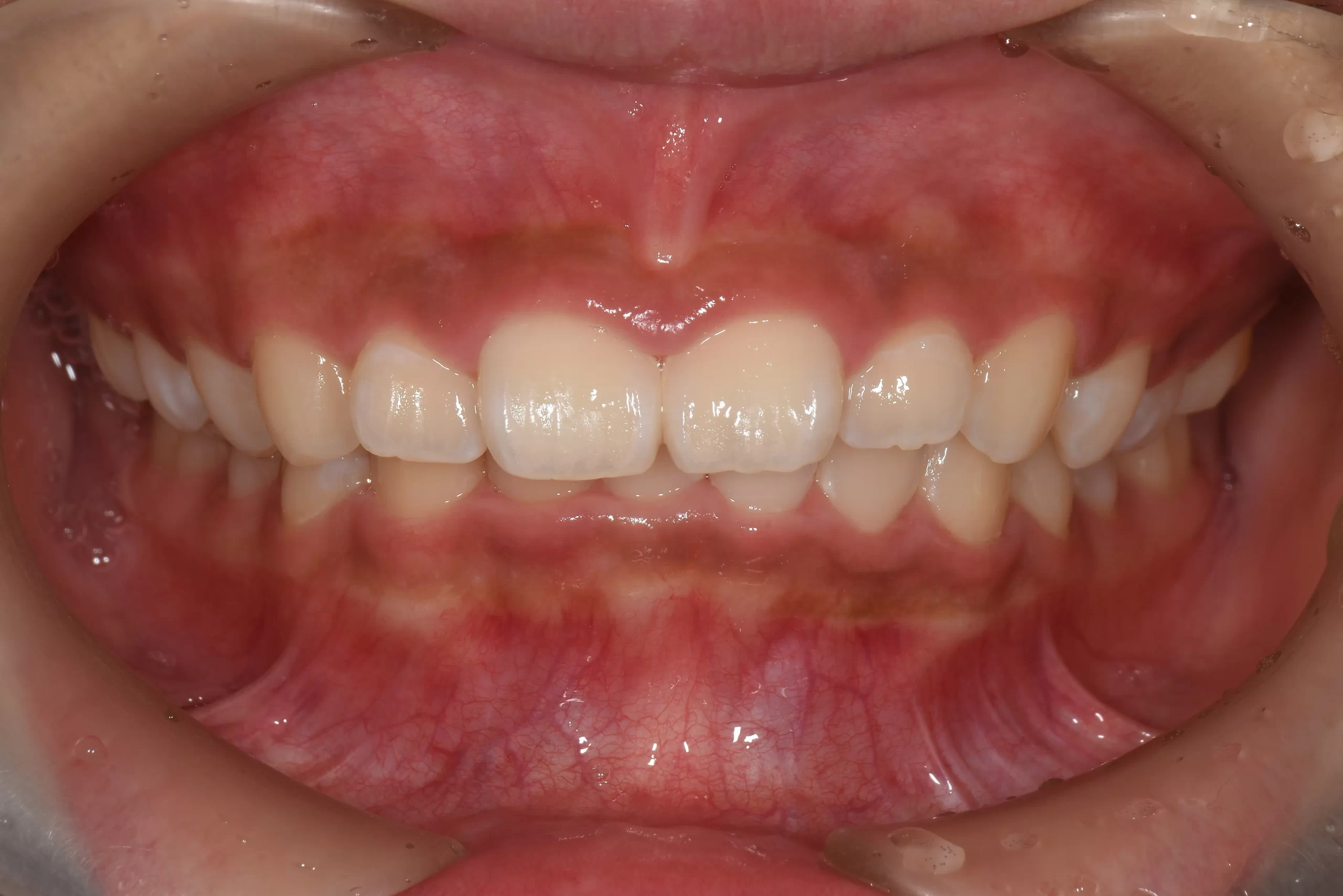
症例1:上下顎前歯部叢生(20歳男性)

Before

After

主な症状 上の左右の八重歯と下の前歯のガタガタ。
年代 20代
矯正装置 インビザライン
治療期間 2年6ヶ月
抜歯の有無
費用 診断料込みで99万円(税込)(診断料38,500円+矯正治療951,500円)

ドクターコメント

ドクター写真

今回の患者様は、前歯のガタつきにお悩みで来院されました。
カウンセリングを重ね、見た目だけでなく噛みやすさや磨きやすさも考慮した矯正プランを提案しました。
インビザラインによる2年半の治療を通じて、患者様の努力もあり自然で美しい歯並びに仕上がりました。
しおみ歯科では、「その方らしい笑顔」と「一生使える口腔環境」を大切に矯正治療を行っています。
自然な笑顔がさらに輝くようになり、私たちもとても嬉しいですね。

しおみ歯科クリニック
歯科医師/塩見

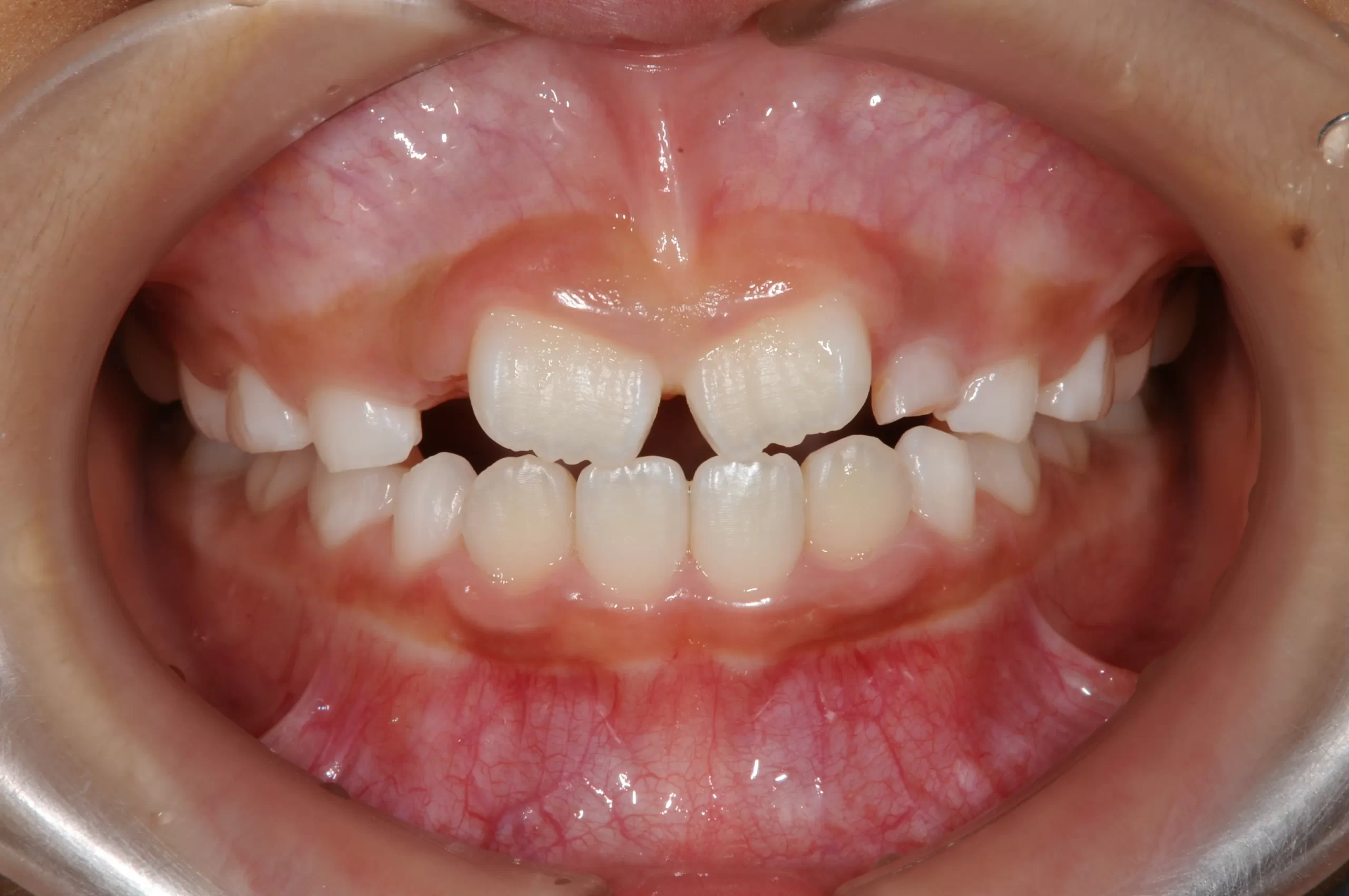
症例2:上顎前突(7歳女性)

Before

After

主な症状 出っ歯と下の前歯のガタガタ。
年代 小学1年生
矯正装置 顎顔面矯正
治療期間 3年
抜歯の有無
費用 診断料込みで517,000円(税込)(診断料38,500円+矯正費用478,500円)

ドクターコメント

ドクター写真

7歳で来院された患者様は、前歯の突出と下のガタつきを気にされていました。
成長段階に合わせて、歯を抜かずにあごの発育を促す「顎顔面矯正」を選択し、3年間かけて自然な歯並びへと導きました。
早期の対応により将来的な負担を軽減でき、ご家族にも安心していただけたことを嬉しく思います。
しおみ歯科では、見た目だけでなく、噛む・話す・育つ力を大切にした矯正治療を行っています。

しおみ歯科クリニック
歯科医師 / 塩見

症例3:開咬・下顎前突(56歳女性)

Before

After

主な症状 受け口と前歯が咬んでなくガタガタ
年代 50代
矯正装置 インビザライン
治療期間 1年10ヶ月
抜歯の有無
費用 診断料込みで99万円(税込)(診断料38,500円+矯正治療951,500円)

ドクターコメント

ドクター写真

50代の患者様で、受け口や前歯のガタつきに加え、歯周病への不安もお持ちでした。
「今さら矯正なんて…」と迷われていましたが、インビザラインで歯にやさしく、1年10ヶ月で噛み合わせも見た目も改善。
年齢に関わらず、お口の健康は今からでも変えられます。
しおみ歯科では、そうしたお気持ちに寄り添いながら治療を進めています。

しおみ歯科クリニック
歯科医師 / 塩見

矯正治療のリスクと副作用

01矯正時の痛み

装置装着後、装置の交換後、数日は食事の際などに歯痛を感じることがあります。
ですがこれは歯が動く正常な反応なので心配いりません。
症状によっては鎮痛剤を服用していただきますが、通常は時間経過と共におさまっていきます。

矯正時の痛み

02口内炎

矯正装置がお口の粘膜に触れることで口内炎ができやすくなることがあります。
装置によってはあらかじめ、保護するためのワックスや塗り薬をお渡しする場合もあります。
お口の清掃状態が悪いと口内炎ができやすくなるため、お口の清掃をこまめに行い、お口をなるべく清潔に保つようにしてください。

口内炎

03虫歯・歯周病

長期的に矯正装置を装着することで、歯磨きが隅々まで行えず、虫歯や歯周病を起こすリスクが高くなります。
リスクを低くするために、定期的な歯のクリーニングを受けていただくことをおすすめします。

虫歯・歯周病

04抜歯

できる限り抜歯を避けた方法での解決を試みますが、歯並びによっては、歯を間引いて(抜歯して)矯正しなければ解決できないケースもあります。

抜歯

05治療期間の延長

成長期の矯正治療において予想外の成長発育が起こった場合や、歯の移動のコントロールがしにくい場合、患者様の治療に対するご協力が不十分な場合、治療期間が延長することがあります。

治療期間の延長

06歯根吸収

治療中に歯根吸収(歯根が短くなること)が起こることがありますが、適正な矯正力による歯根吸収であれば、後に修復され、最小限に留めることができます。

歯根吸収

07歯肉退縮

矯正歯科治療に伴い、歯肉の退縮が起こることがあります。
特に歯周病などの原因により歯肉が下がっている方は、歯を動かすことでさらに歯肉が下がることがあります。

歯肉退縮

08金属アレルギー

矯正装置に金属を使用する場合には、金属アレルギーが起こることがあります。

金属アレルギー

09歯並びの後戻り

矯正治療後は、歯が元の位置に戻ろうとする傾向があります。
そのため、治療終了後にリテーナー(保定装置)で後戻りを最小限に抑えていきます。
もし装着が不十分な場合、歯並びが乱れることがありますので、使用方法や時間を守っていただくようお願いいたします。

歯並びの後戻り